Em que consiste?
A Periodontologia é uma especialidade da Medicina Dentária que se ocupa da prevenção, diagnóstico e tratamento das doenças das estruturas periodontais, isto é que suportam os dentes.
Em que consiste?
A Periodontologia é uma especialidade da Medicina Dentária que se ocupa da prevenção, diagnóstico e tratamento das doenças das estruturas periodontais, isto é que suportam os dentes.
Diagnóstico
Diagnóstico
Após o estabelecimento do diagnóstico, fica definido o tipo de doença periondontal existente e planeia-se a abordagem de tratamento específica para o paciente.
Após o estabelecimento do diagnóstico, fica definido o tipo de doença periondontal existente e planeia-se a abordagem de tratamento específica para o paciente.
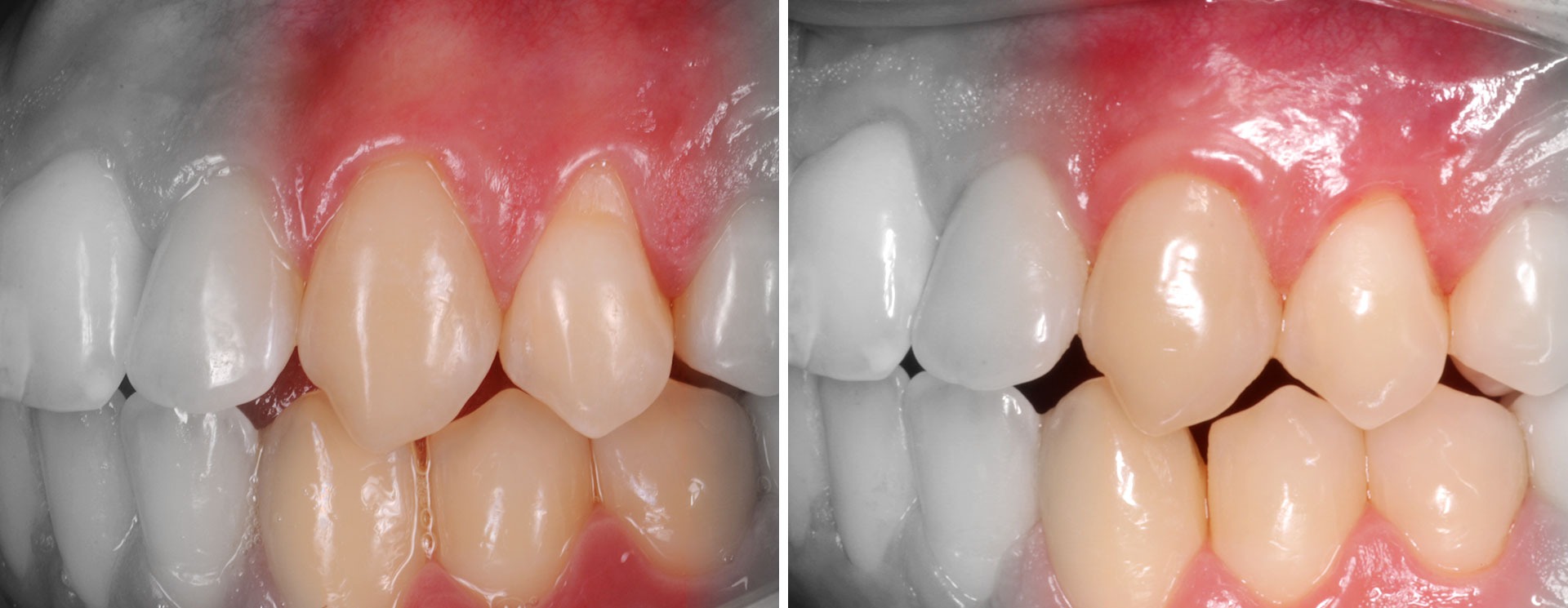
Gengivite
Gengivite
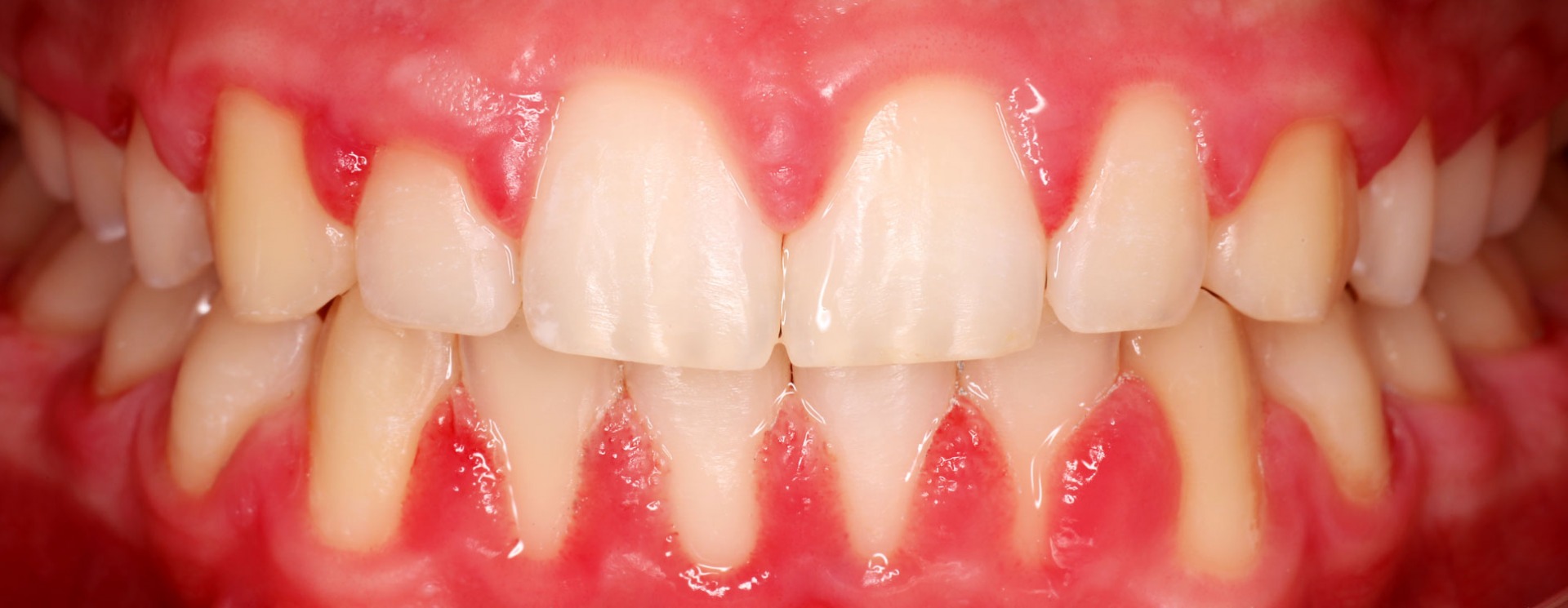
Periodontite
Progressão inflamatória da doença periodontal que leva à destruição dos restantes tecidos de suporte dos dentes: o ligamento periodontal (conjunto de fibras que existem entre os dentes e o osso maxilar) e o osso que suporta os dentes.
Periodontite
Progressão inflamatória da doença periodontal que leva à destruição dos restantes tecidos de suporte dos dentes: o ligamento periodontal (conjunto de fibras que existem entre os dentes e o osso maxilar) e o osso que suporta os dentes.
Para avaliação de suporte ósseo em redor dos dentes , o exame radiográfico é fundamental.
Para avaliação de suporte ósseo em redor dos dentes , o exame radiográfico é fundamental.
A cirurgia pode ser solução?
Por vezes verifica-se a necessidade de tratamento cirúrgico, que se poderá justificar em casos mais graves e que permitem muitas vezes salvar dentes.
A cirurgia pode ser solução?
Por vezes verifica-se a necessidade de tratamento cirúrgico, que se poderá justificar em casos mais graves e que permitem muitas vezes salvar dentes.
Problemas estéticos
Problemas estéticos

