Em que consiste?
A coroa é utilizada para cobrir inteiramente ou somente uma parte de um dente danificado. Além de conferir maior resistência a um dente danificado, a coroa pode ser utilizada para melhorar sua aparência, o formato ou alinhamento dos dentes no arco.
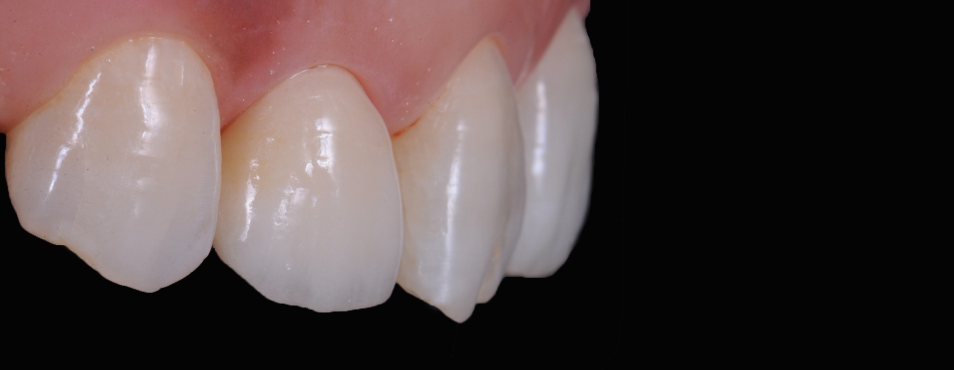
Em que consiste?
A coroa é utilizada para cobrir inteiramente ou somente uma parte de um dente danificado. Além de conferir maior resistência a um dente danificado, a coroa pode ser utilizada para melhorar sua aparência, o formato ou alinhamento dos dentes no arco.
Na eventualidade de já não existir dente (incluíndo a raiz), a coroa dentária pode ficar apoiada (cimentada ou aparafusada) num implante dentário, ou ser incorporada numa ponte dentária de 3 elementos.
Na eventualidade de já não existir dente (incluíndo a raiz), a coroa dentária pode ficar apoiada (cimentada ou aparafusada) num implante dentário, ou ser incorporada numa ponte dentária de 3 elementos.
Em que situações se aplica?
Usa-se uma coroa para os pontos abaixo mencionados:
- Substituir uma grande restauração quando não restar muita estrutura do dentes;
- Proteger um dente enfraquecido por fraturas;
- Restaurar um dente fraturado;
- Ligar uma prótese;
- Cobrir um implante dentário;
- Cobrir um dente descolorido ou deformado;
- Cobrir um dente que tenha sofrido um tratamento de canal.
Em que situações se aplica?
Usa-se uma coroa para os pontos abaixo mencionados:
- Substituir uma grande restauração quando não restar muita estrutura do dentes;
- Proteger um dente enfraquecido por fraturas;
- Restaurar um dente fraturado;
- Ligar uma prótese;
- Cobrir um implante dentário;
- Cobrir um dente descolorido ou deformado;
- Cobrir um dente que tenha sofrido um tratamento de canal.
