Repor estruturas dentárias ausentes não só beneficia o seu sorriso como também melhorará significativamente a sua saúde em geral. A ausência dentária leva inevitavelmente a movimentos indesejáveis dos dentes adjacentes e dos dentes oponentes, levando a alguma dificuldade e desconforto durante a mastigação. Além disso, problemas mais sérios poderão resultar da perda dentária, incluindo cáries dentárias, doenças gengivais e dor na articulação temporomandibular.
Repor estruturas dentárias ausentes não só beneficia o seu sorriso como também melhorará significativamente a sua saúde em geral. A ausência dentária leva inevitavelmente a movimentos indesejáveis dos dentes adjacentes e dos dentes oponentes, levando a alguma dificuldade e desconforto durante a mastigação. Além disso, problemas mais sérios poderão resultar da perda dentária, incluindo cáries dentárias, doenças gengivais e dor na articulação temporomandibular.
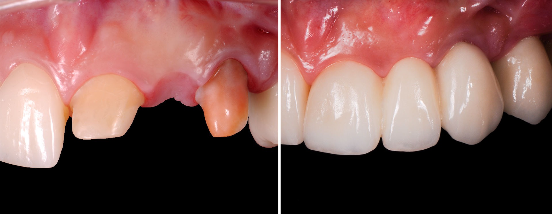
A colocação de pontes dentárias constitui uma opção válida quando se pensa em repor estruturas dentárias em falta. O espaço é fechado colocando um dente suspenso (ponte) entre duas coroas que são colocadas sobre os dentes adjacentes (dentes pilares). As pontes dentárias são confortáveis e duráveis e podem ser removidas somente pelo Médico Dentista.
A colocação de pontes dentárias constitui uma opção válida quando se pensa em repor estruturas dentárias em falta. O espaço é fechado colocando um dente suspenso (ponte) entre duas coroas que são colocadas sobre os dentes adjacentes (dentes pilares). As pontes dentárias são confortáveis e duráveis e podem ser removidas somente pelo Médico Dentista.
Para a execução deste tratamento, o Médico Dentista necessita de preparar os dentes adjacentes que irão acomodar as coroas. Uma vez preparados, é efectuada uma impressão para depois se poder confeccionar uma estrutura constituída por duas coroas e um dente suspenso, com um desenho e forma que permitam uma adaptação confortável na sua boca. No final obtém-se um sorriso naturalmente agradável, sem espaços negros inestéticos.
Para a execução deste tratamento, o Médico Dentista necessita de preparar os dentes adjacentes que irão acomodar as coroas. Uma vez preparados, é efectuada uma impressão para depois se poder confeccionar uma estrutura constituída por duas coroas e um dente suspenso, com um desenho e forma que permitam uma adaptação confortável na sua boca. No final obtém-se um sorriso naturalmente agradável, sem espaços negros inestéticos.
