Tipos de aparelhos dentários
Tratamento Ortodôntico – quais os aparelhos entre os quais pode optar
O tratamento ortodôntico consiste em alinhar os dentes e em engrenar a arcada superior com a arcada inferior de forma harmoniosa e funcional. Por isso, normalmente colocam-se sempre dois aparelhos, um nos dentes superiores e outro nos dentes inferiores. Para além da estética (que é conseguida facilmente com o alinhamento dos dentes) é necessário haver uma boa engrenagem dos dentes superiores com os dentes inferiores, para que a funções mastigatória, fonética, etc não sejam comprometidas. Além disso, outro dos objectivos cruciais que se pretende alcançar com o tratamento ortodontico é a estabilidade. Quando se altera a dimensão e forma de uma das arcadas dentárias, superior ou inferior (o que ocorre durante o alinhamento) há necessidade de alterar a outra, para o tratamento seja estável, funcional e estético!
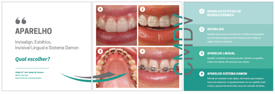
Existem vários tipos de aparelhos estéticos. Existem uns da cor dos dentes que podem ser de diferentes materiais como resina ou cerâmica por exemplo. Além disso, ainda temos outro tipo de aparelhos
“invisíveis” ou “transparentes”. Estes aparelhos podem ser aparelhos linguais ou “alinhadores/goteiras transparentes”. Os aparelhos linguais são constituídos por peças que são 'coladas' na superfície interior dos dentes, não sendo por isso visíveis. O aparelho tipo Invisalign, consiste numa série de 'alinhadores/goteiras' transparentes que vão sendo progressivamente mudadas até se chegar ao objectivo final do tratamento.
É importante ainda referir que este tipo de aparelhos têm indicações específicas e que em determinados tratamentos a sua utilização não é a indicada. Além disso, devo alertar também que o tratamento ortodôntico com aparelhos estéticos demora sempre mais comparativamente com os tradicionais metálicos.
A utilização do sistema Damon, um tipo de aparelho fixo metálico, depende também da individualidade de cada caso. Mas é um sistema que permite um tratamento ortodôntico rápido e que permite ainda tratar casos sem extracções, em situações que tradicionalmente seria preciso tirar dentes.
Todos estes aparelhos estão disponíveis no mercado nacional.
