Devolvemos a confiança ao seu sorriso!
Ter um sorriso que não vai de encontro com às suas espectativas pode afetar e muito a sua confiança. Através de tratamentos combinados podemos atingir os resultados desejados. No caos desta paciente, recorremos a vários tratamentos para atingir o sorriso final que pretendíamos, nomeadamente a utilização de ponte sobre implantes, facetas dentárias, implantes únicos (com necessidade de elevação do seio) e ainda enxertos gengivais. No final, e devido a um planeamento cuidado, a combinação de todos estes tratamentos resultou num sorriso harmonioso, que devolveu a confiança em sorrir à paciente.

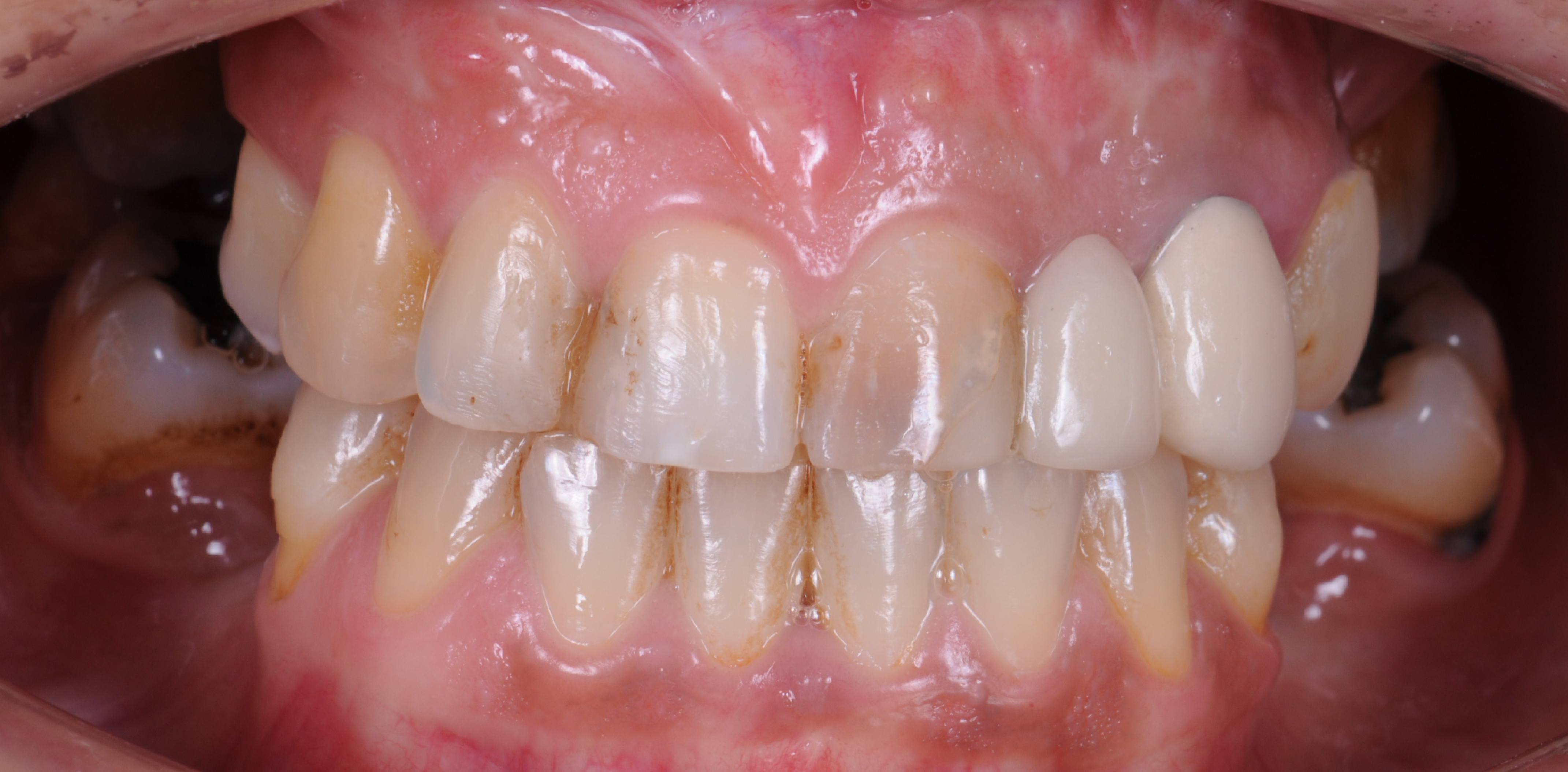
Sorriso inicial da paciente.



Estado inicial do dentes.


Trabalho provisório, inserido de forma a perceber a harmonia do sorriso em relação ao rosto.


Trabalho final, antes de ser inserido em boca.

Sorriso com trabalho final inserido.

