SORRIA! HOJE E TODOS OS DIAS!
Os resultados que se conseguem com a reabilitação de tratamentos combinados podem ser absolutamente surpreendentes, capazes de lhe devolver a vontade de sorrir constantemente!
Veja o caso desta paciente, que atraves da implementação de tratamentos como facetas e implantes, conseguiu sorrir com vontade novamente!



Sorriso da paciente antes de iniciar qualquer tratamento.

Prova com mockup, garantido a homogeneidade do sorriso.


Trabalhos finais no modelo.



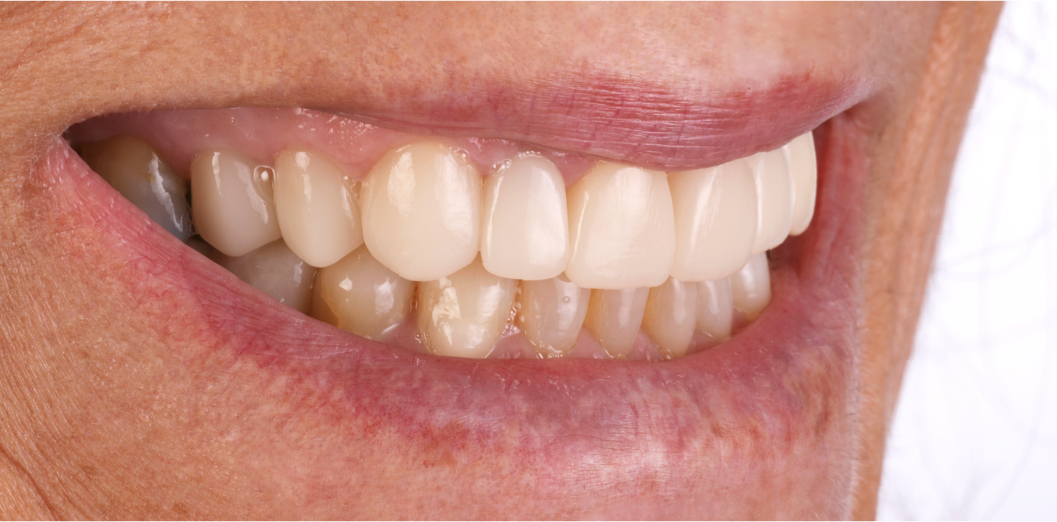
Trabalho final inserido.
Antes e Depois do sorriso da paciente.
2021-06-16
