O Poder da Reabilitação Oral!
Já se apercebeu do poder que uma boa reabilitação oral tem na aparência do seu rosto? Na maior parte dos casos, os pacientes ficam com um aspeto mais jovem e cuidado!
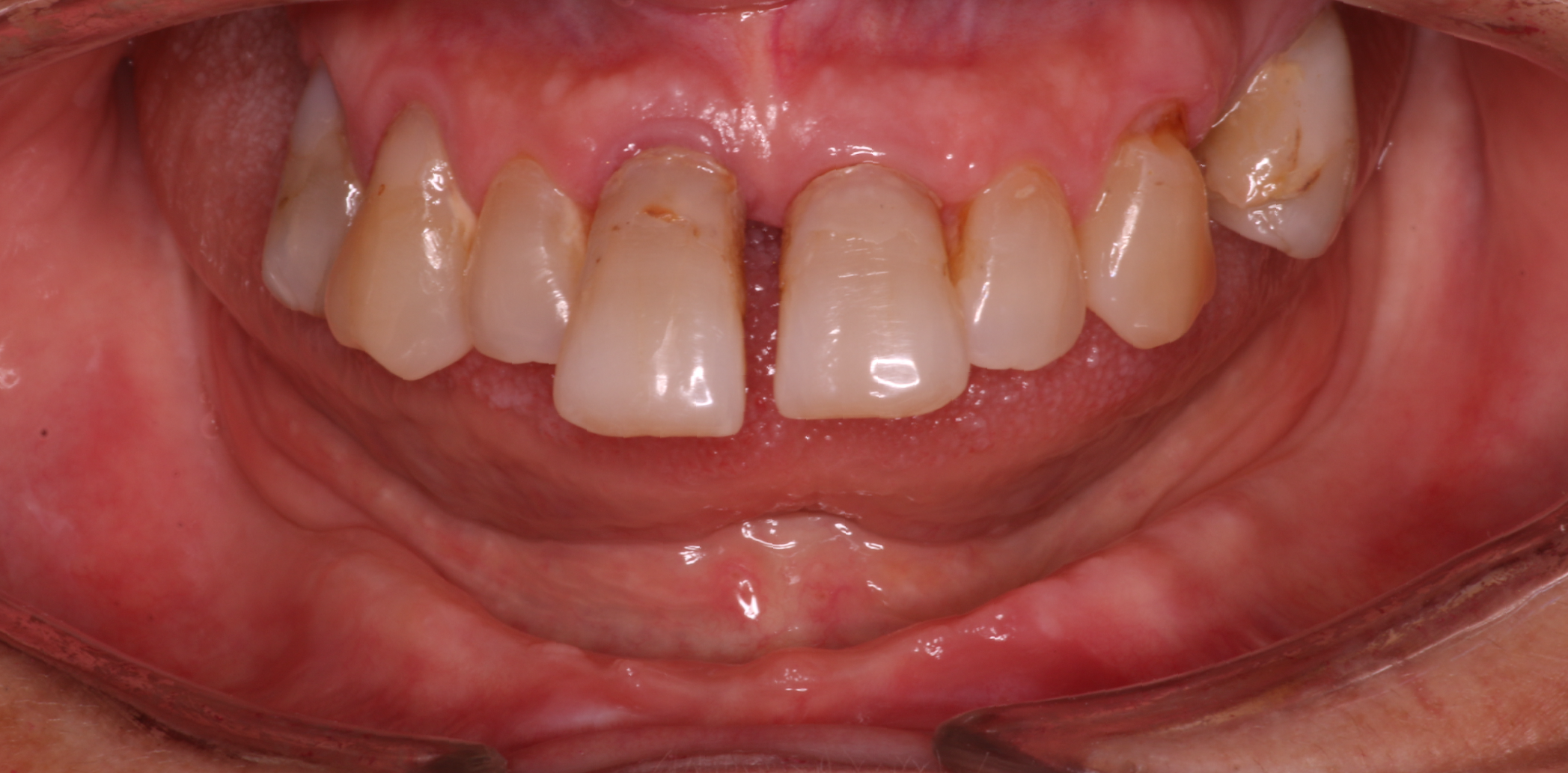
Sorriso inicial da paciente.

A paciente não apresentava qualquer dente no maxilar inferior e os superiores encontravam-se bastantes comprometidos e com lesões de cáries radiculares, bem como perda da estrutura de suporte periodontal.
A nossa equipa optou por dentes fixos sobre implantes para devolver o sorriso à paciente, e este foi o resultado final!



A diferença de expressão, confiança e aparencia entre a fase inicial e depois do tratamento terminado é evidente!

