Quando a Ortodontia se alia à Reabilitação Oral
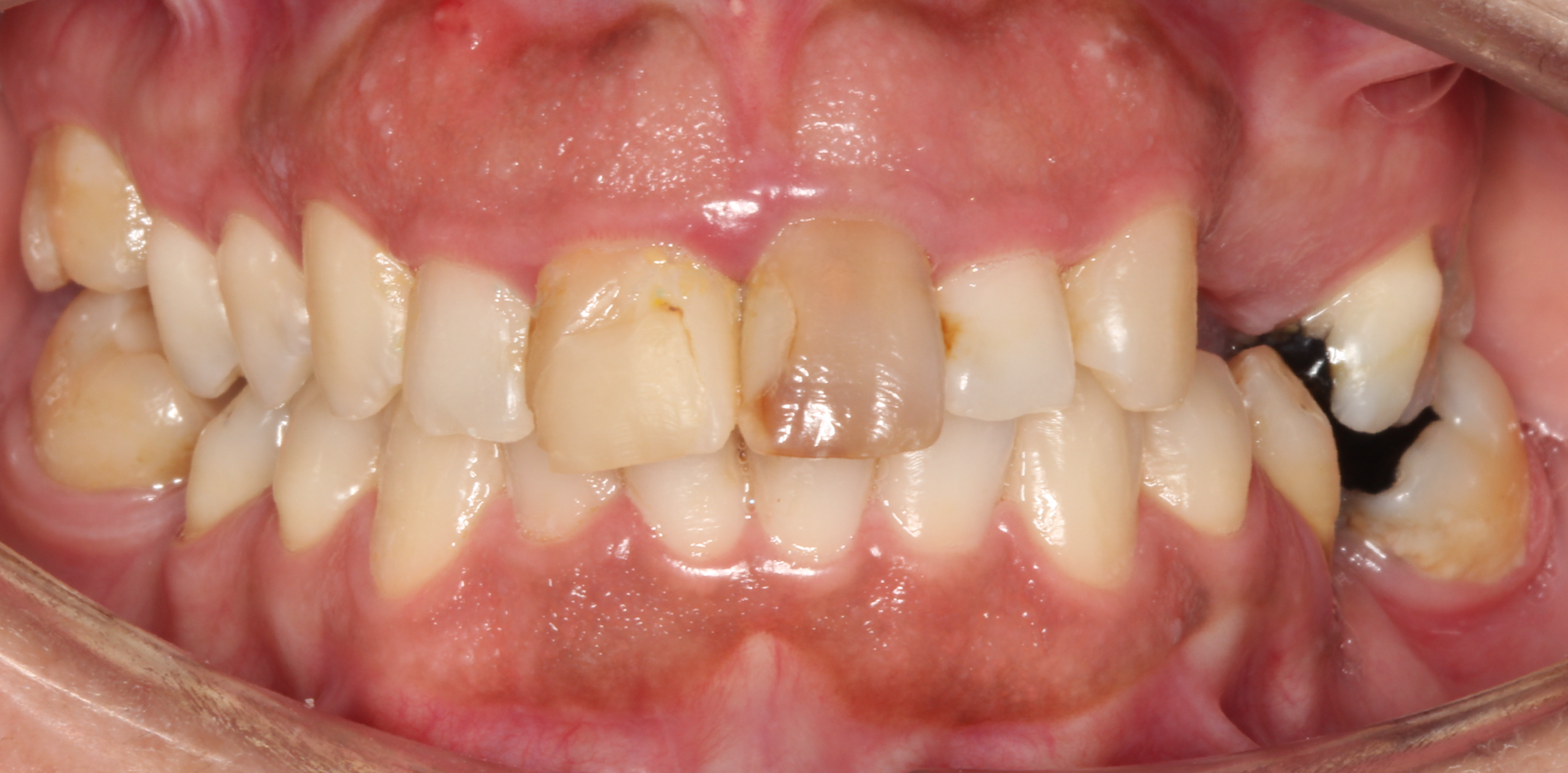
Há casos em que a junção de diferentes tratamentos estéticos é o ideal para conseguir os melhores resultados. No caso que apresentamos aqui, o estado inicial do sorriso da paciente exigia que houvesse uma correção no alinhamento dos dentes antes de poder adereçar qualquer outro problema apresentado. Assim, começámos por idealizar um planeamento, para perceber os passos que o tratamento iria seguir do início ao fim, já que uns procedimentos influenciam diretamente os outros.

Sorriso da paciente antes de iniciar qualquer tratamento.
Iniciou-se então o tratamento de ortodontia, recorrendo ao aparelho fixo.

No final do tratamento de ortodontia, o que obtivemos foi um sorriso mais uniforme, que nos permitia direcionar agora a nossa atenção exclusivamente para a reabilitação oral.


Sorriso da paciente pós tratamento de ortodontia.
Os passos que se seguiram tinham como fim a colocação de coroas sobre implantes e facetas, de forma a reabilitar estetica e funcionalmete o sorriso da paciente. Assim, foram feitas algumas provas de mock-up, para certificar que o resultado final é do total agrado da paciente.


Provas de mockup.
Assim que tudo foi aprovado, podemos então passar para a produção e colocação do trabalho final, devolvendo assim a confiança e a estética a mais um sorriso.


Sorriso final.

