Diga não à placa bacteriana!
Por vezes é difícil perceber se estamos realmente a escovar bem os dentes ou não.
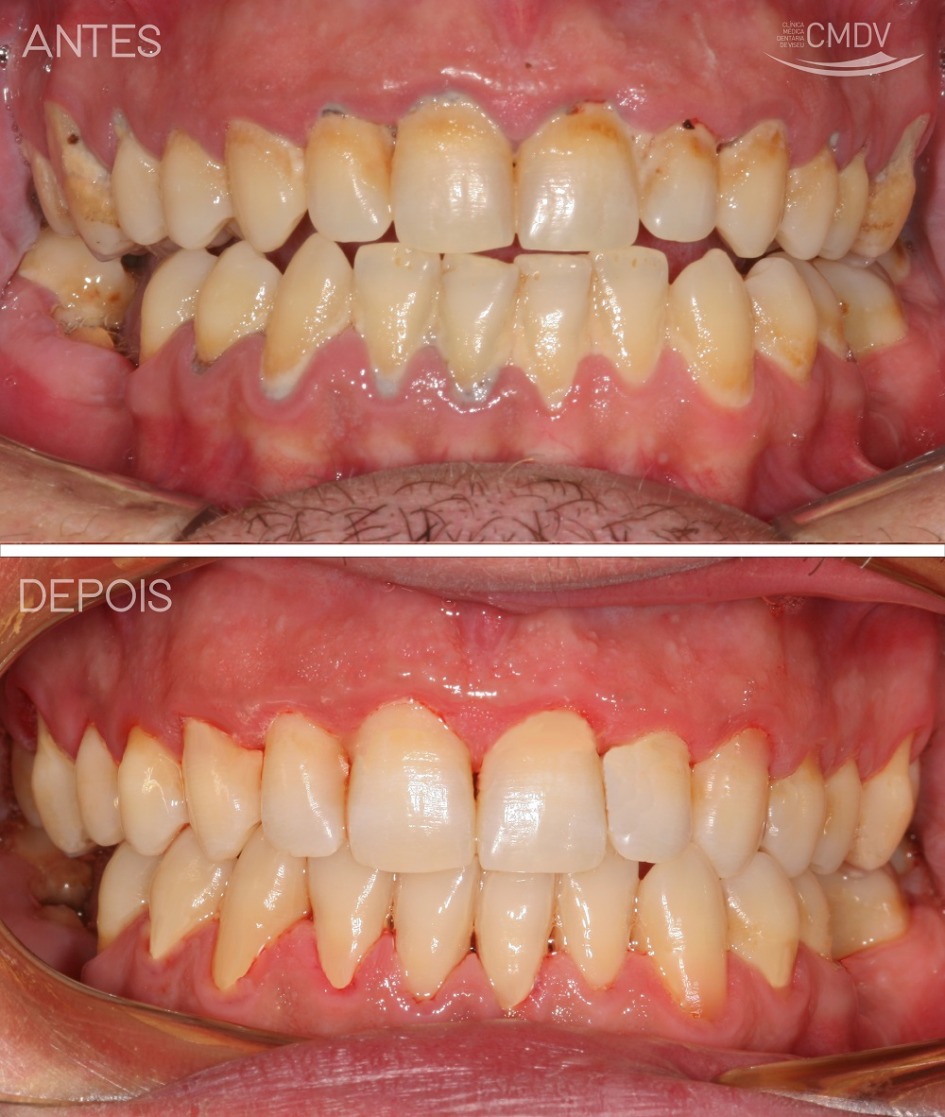
Mesmo quando se deixa placa bacteriana acumulada, esta é incolor e portanto difícil de ver.
Como podemos então ter a certeza que a nossa escovagem está a ser eficaz e que estamos a chegar a toda a superfície dentária?
Os reveladores vão tingir a placa bacteriana, tornando-a visível. Sendo assim os locais tingidos, são zonas onde não está a conseguir chegar com a escova ou com o fio dentário. Este foi o processo elaborado a este paciente que possui-a uma grande placa bacteriana, no entanto após ser corrigida e lhe ser explicado o processo de higiene oral ele pode sorriso novamente.
