Os benefícios do tratamento ortodontico!
Se os seus dentes não tiverem uma aparência estética favorável, apenas o seu dentista ou ortodontista poderá determinar se poderá beneficiar de um tratamento ortodontico.
Com base em alguns instrumentos de diagnóstico que incluem um histórico médico e dentário completo, um exame clínico, moldes de gesso dos seus dentes e fotografias e radiografias especiais, o ortodontista ou dentista poderá decidir se a ortodontia é recomendável e desenvolver um plano de tratamento adequado para si.
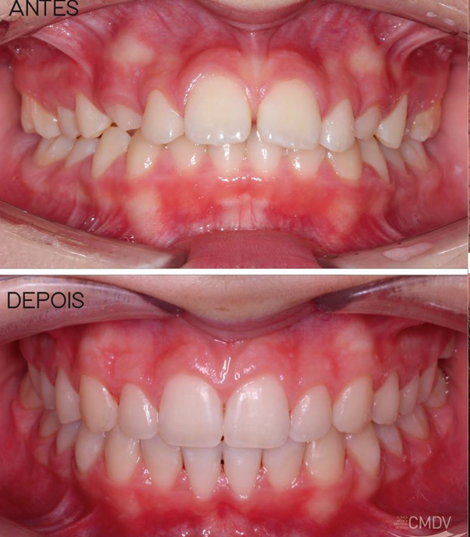
Aqui, temos um caso onde foi possível utilizar o método da ortodontia, uma vez que o paciente continha dentes desalinhados, podendo causar vários incomodos, como desconforto, dores de cabeça e dificuldades em ingerir alimentos. Neste caso a mordida estava alterada com os dentes desalinhados, era inestético e causava dores articulares.
A solução passou pela utilização de um aparelho ortodôntico, extrações dentárias e restaurações.
Assim, a vontade do paciente foi conseguida e a sua felicidade está à vista de todos!
