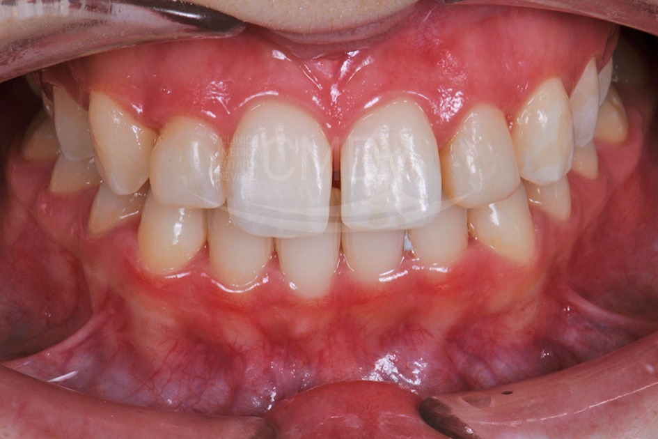
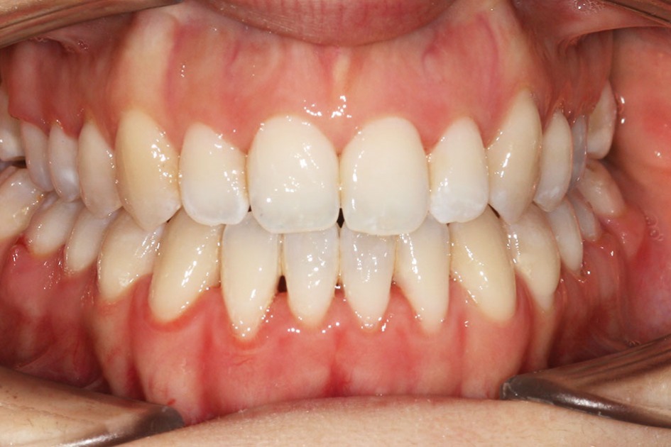
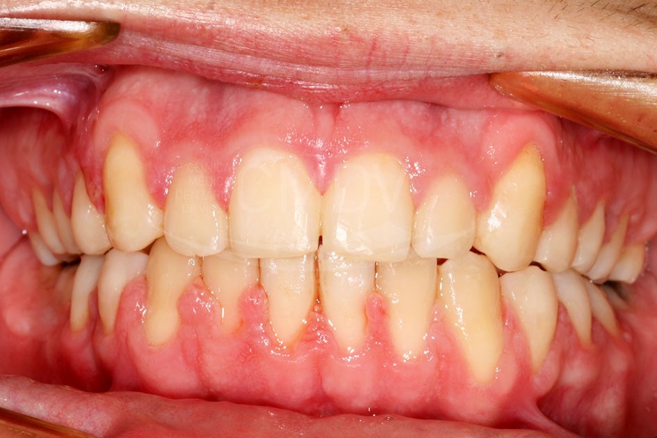
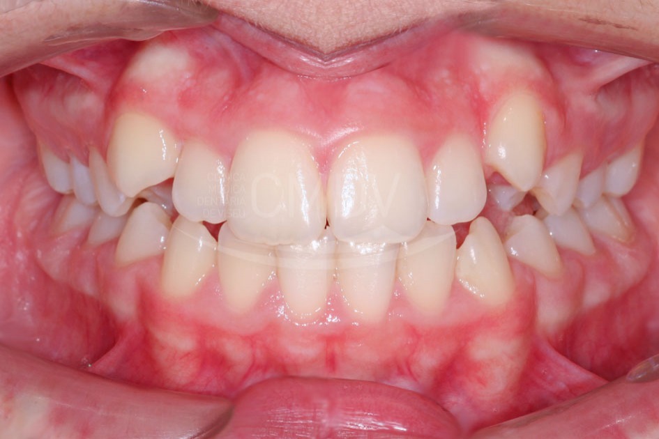
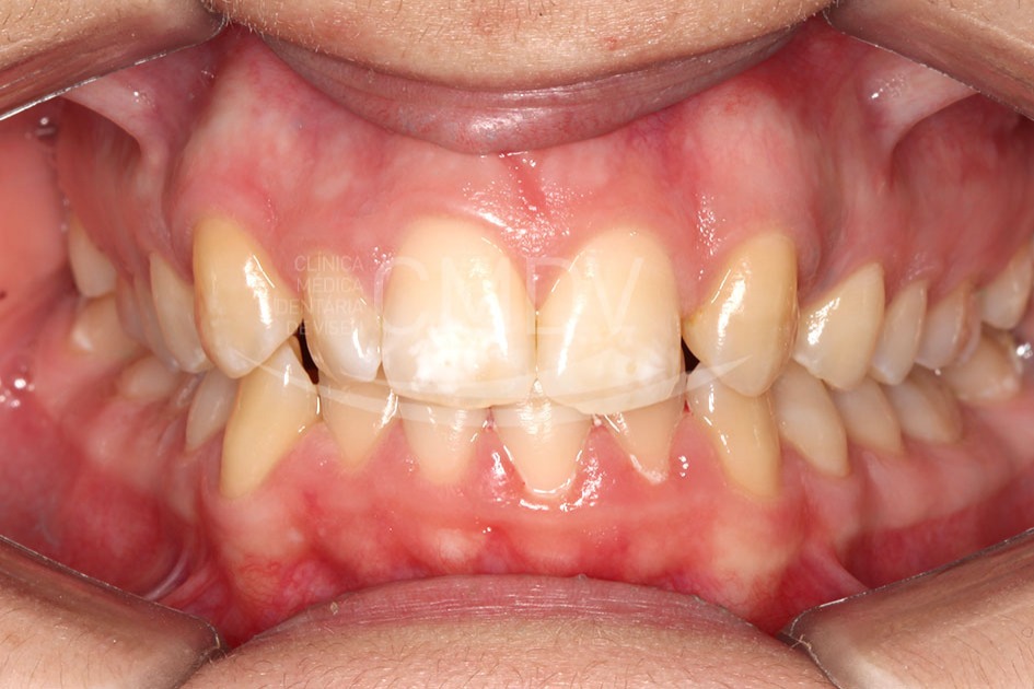
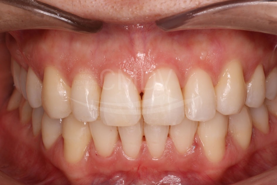
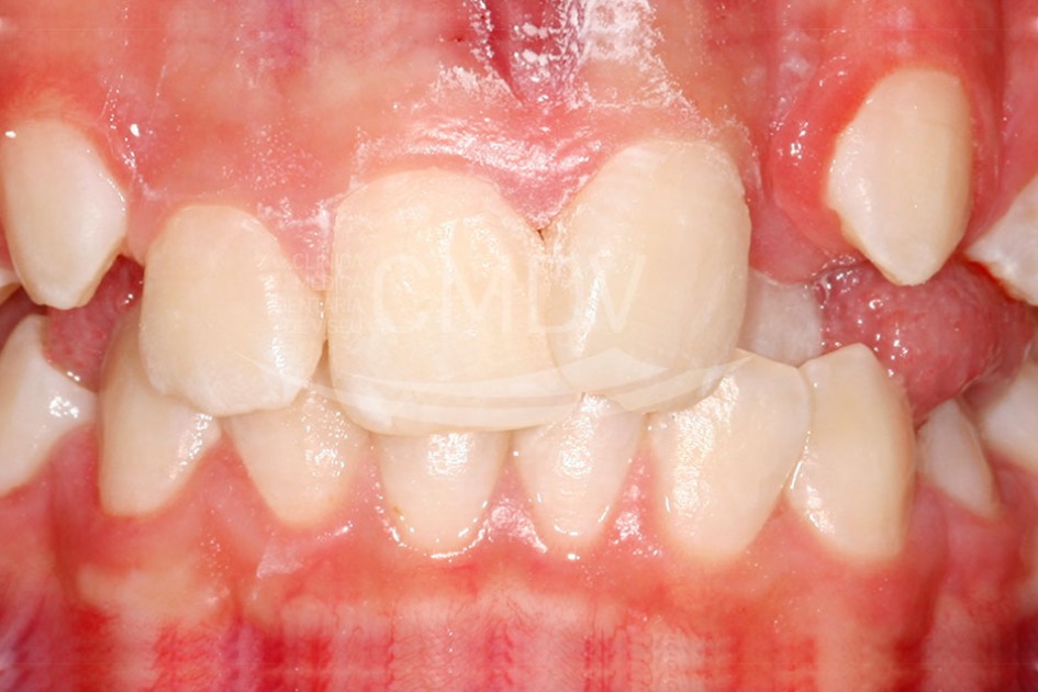
Ortodontia

CMDV
Normalmente responde dentro de uma hora

CMDV
Olá, em que podemos ajudar? 👋

Envia-nos uma mensagem agora para receberes ajuda.
×
Fale Connosco